Ginecología para Miomas uterinos

Disponemos de la última tecnología en ginecología. Ecografía Ginecológica Doppler 3D para valoración de miomas uterinos

Ginecología

En ginecología, disponer de la última tecnología y formación adecuada evita la realización en determinadas ocasiones, de pruebas como la RNM (Resonancia Nuclear Magnética) o el TAC (Tomografía Axial Computerizada) más costosas e incómodas para la paciente, evitando la radiación del TAC.

Con el desarrollo de la Ecografía, hemos conseguido disminuir las indicaciones quirúrgicas y hacer diagnósticos más precisos. Esto nos permite cuando tenemos que decidir un tratamiento, seleccionar mejor los casos y aplicar el tratamiento más idóneo en el caso clínico concreto.

Ginecología
Última tecnología
Diagnóstico personalizado
Tratamientos no invasivos
Atención integral
Ecografía Ginecológica Doppler 3D

Ecografía Ginecológica Doppler 3D

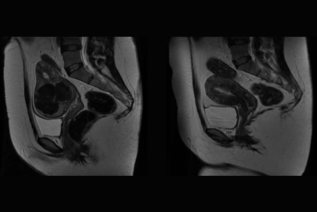
En mi tesis Doctoral, presentada en 2006, premio a la mejor Tesis Doctoral en Cirugía de la Universidad Complutense de Madrid y premio del FISCAM (Fundación para la Investigación Sanitaria de Castilla la Macha) a la mejor Tesis Doctoral de Castilla-La Mancha, validé el diagnóstico y seguimiento de los miomas con embolización uterina con Eco-Doppler frente a la RNM (Resonancia Nuclear Magnética).

Este hecho es muy importante para las pacientes puesto que demuestra que ambas pruebas son igualmente eficaces en esta patología, evitando métodos diagnósticos más costosos e incómodos para las pacientes.

Ecografía Ginecológica Doppler 3D - Elastografía para valoración de miomas, dos novedades en el tratamiento de miomas. Nos permite ver el útero con una definición casi real.

Especialista en tratamientos de miomas sin cirugía

Reconocimiento a la trayectoria profesional Women Health

No lo deje para después, podemos ayudarla


Nuestro equipo de especialistas médicos lleva más de 15 años realizando tratamientos de miomas uterinos con las técnicas más novedosas.


SOLICITAR CITA AHORA

SOLICITAR CITA